
In recent years, quartz countertops have gained immense popularity for their sleek appearance and durability. However, a darker reality has emerged: the production of these engineered stones has led to deadly cases of silicosis among workers exposed to silica dust.
The tragic story of Marek Marzec, a 48-year-old father of three who was given weeks to live due to silicosis, has brought this crisis to national attention. His harrowing experience was featured in PEOPLE magazine, highlighting the devastating health impacts of working with quartz countertops and the systemic negligence that allowed unsafe conditions to persist.
At Anapol Weiss, we understand the importance of mass tort actions in holding corporations accountable and advocating for workers like Marek who suffer life-altering consequences due to negligence.
Understanding the Issue: Silicosis and Quartz Countertops
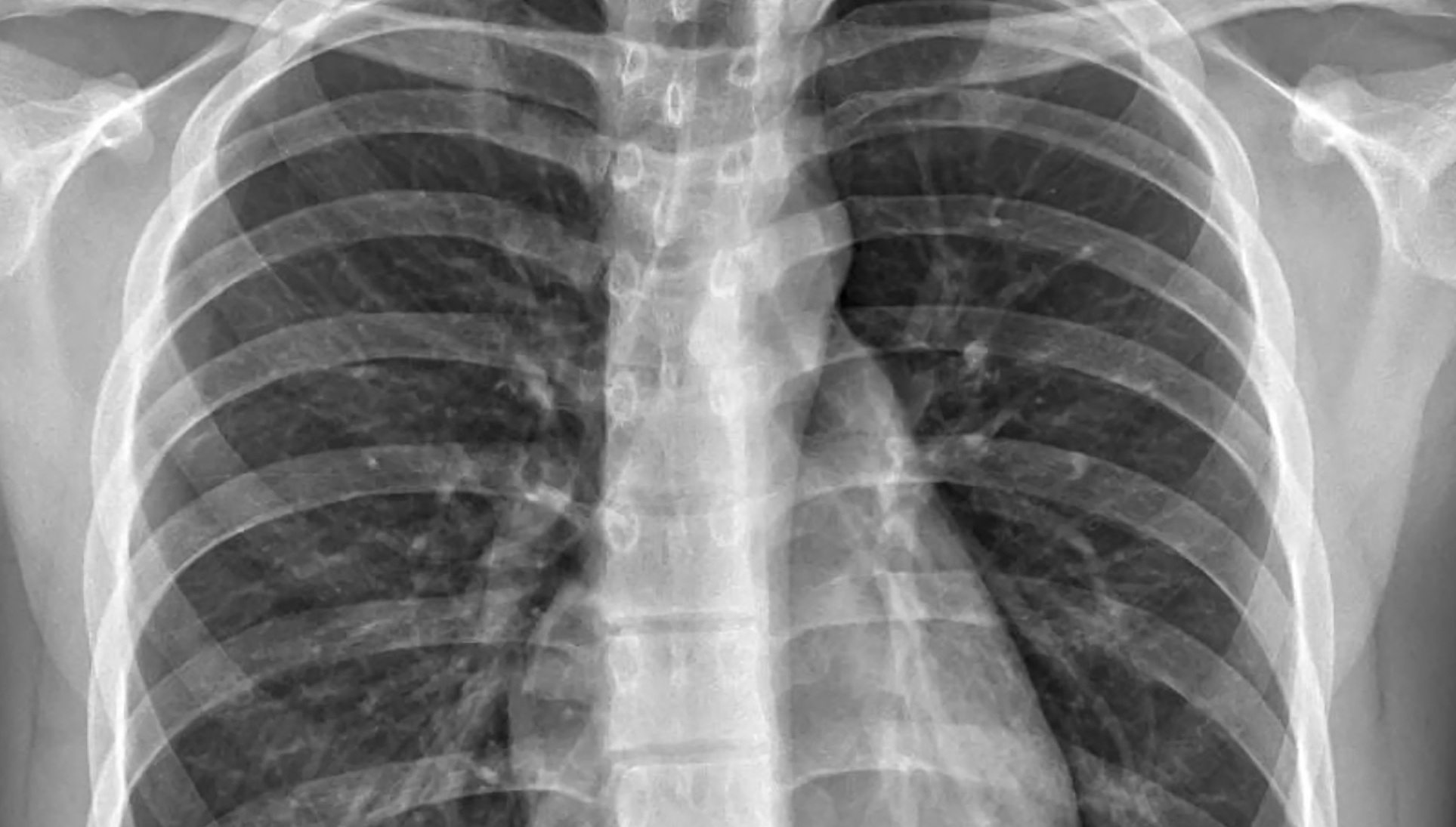
Quartz countertops, a staple in high-end kitchens, are composed of over 90% silica. When the stone is cut, polished, or ground, fine silica dust is released into the air. Workers who inhale these particles face significant health risks, including silicosis, a severe and often fatal lung disease.
Recent studies have exposed the alarming scope of the problem. For example, PEOPLE magazine reported on a study published in JAMA Internal Medicine, which analyzed 52 cases of silicosis among California workers fabricating quartz countertops. Of those cases, 10 workers have died, and three required lung transplants.
Marek, whose story was detailed in PEOPLE, worked for over a decade in countertop manufacturing, breathing in the "lethal dust" that ultimately cost him his health. Tragically, Marek is too ill to undergo a lung transplant, and his condition has rapidly deteriorated since his diagnosis.
Despite the known dangers of silica dust, inadequate workplace protections and oversight have left countless workers like Marek vulnerable. The slow pace of regulatory reform makes legal action a vital avenue for justice and systemic change.
How Mass Tort Actions Can Drive Change
Mass tort litigation is a powerful tool in cases where negligence impacts large groups of people. Unlike class actions, where all plaintiffs are treated as a single entity, mass torts allow for individual claims that recognize the unique damages suffered by each person.
Here’s why mass tort actions are essential in addressing cases like this:
- Accountability for Negligence Marek Marzec’s story is just one example of how corporations have prioritized profits over worker safety. Mass tort litigation can expose these failures and hold companies accountable for endangering their employees.
- Access to Justice for Victims Workers like Marek often lack the resources to pursue legal action independently. Mass torts pool resources, enabling victims to seek compensation for medical expenses, lost wages, and the immense pain and suffering caused by their exposure.
- Industry-Wide Reform Mass tort cases can shine a spotlight on dangerous practices, leading to improved regulations and safer working conditions. Australia’s ban on engineered stone demonstrates how awareness and advocacy can drive policy changes, and California is considering similar action.
- Deterrence of Future Negligence When companies face substantial consequences for failing to protect workers, it deters others from repeating the same mistakes.
A Call for Action
Marek Marzec’s story, as highlighted in PEOPLE magazine, underscores the urgent need for change. While California and other states are considering bans on engineered stone, these efforts must be complemented by legal advocacy to ensure compliance and accountability.
Mass tort actions amplify the voices of workers and families impacted by silicosis. They demand that employers prioritize safety and provide compensation to those who have paid the ultimate price for their livelihoods.
How to Initiate Legal Action
At Anapol Weiss, we have a long history of representing victims in mass tort cases and achieving meaningful outcomes. We are dedicated to fighting for individuals harmed by corporate negligence, whether from exposure to silica dust, defective medical devices, or other dangerous practices.
If you or someone you know has been affected by silicosis or exposure to silica dust, contact Anapol Weiss today for a free consultation. Together, we can hold corporations accountable, demand systemic reform, and honor the sacrifices of individuals like Marek Marzec by ensuring no one else has to face such preventable harm.
Click here to read the full article in PEOPLE.

